Current Issue Volume 21(1); Apr 2026
-
EditorialApr 30, 2026
Editorial for Urogenital Tract Infection 2026 Vol. 21 No. 1 - Highlights of This Issue’s Papers and the Urogenital Tract Infection Editors’ Pick
Tae Gyun Kwon, Phil Hyun Song, Koo Han Yoo
Urogenit Tract Infect 2026;21(1):1-2.
-
Review ArticleApr 30, 2026
Urinary Tract Infection and Urolithiasis: A Narrative Review of Pathophysiological Links and Clinical Implications
Dong Sup Lee
Urogenit Tract Infect 2026;21(1):3-10.
-
Review ArticleApr 30, 2026
Beyond Empirical Antibiotics: Toward Precision-Based Urinary Tract Infection Management and Korea-Specific Guidelines
Sang Rak Bae, Hee Jo Yang
Urogenit Tract Infect 2026;21(1):11-14.
-
Original ArticleApr 30, 2026
The Korean Antimicrobial Resistance Monitoring System for Complicated Urinary Tract Infections: A Prospective Multicenter Observational Study Conducted by the Korean Association of Urogenital Tract Infection and Inflammation
Seong Hyeon Yu, Seung Il Jung, Donghoon Lim, Jeong Woo Lee, Seung-Ju Lee, et al.
Urogenit Tract Infect 2026;21(1):15-25.
-
Original ArticleApr 30, 2026
Identification of Plasma Biomarker Signatures for Acute and Chronic Cystitis Using Olink Explore Proteomics in UK Biobank
Chang Gu Kang, Su Kang Kim
Urogenit Tract Infect 2026;21(1):26-39.
-
EditorialApr 30, 2026
Editorial for Urogenital Tract Infection 2026 Vol. 21 No. 1 - Highlights of This Issue’s Papers and the Urogenital Tract Infection Editors’ Pick
Tae Gyun Kwon, Phil Hyun Song, Koo Han Yoo
Urogenit Tract Infect 2026;21(1):1-2.
-
Review ArticleApr 30, 2026
Urinary Tract Infection and Urolithiasis: A Narrative Review of Pathophysiological Links and Clinical Implications
Dong Sup Lee
Urogenit Tract Infect 2026;21(1):3-10.
-
Review ArticleApr 30, 2026
Beyond Empirical Antibiotics: Toward Precision-Based Urinary Tract Infection Management and Korea-Specific Guidelines
Sang Rak Bae, Hee Jo Yang
Urogenit Tract Infect 2026;21(1):11-14.
-
Original ArticleApr 30, 2026
The Korean Antimicrobial Resistance Monitoring System for Complicated Urinary Tract Infections: A Prospective Multicenter Observational Study Conducted by the Korean Association of Urogenital Tract Infection and Inflammation
Seong Hyeon Yu, Seung Il Jung, Donghoon Lim, et al.
Urogenit Tract Infect 2026;21(1):15-25.
-
Original ArticleApr 30, 2026
Identification of Plasma Biomarker Signatures for Acute and Chronic Cystitis Using Olink Explore Proteomics in UK Biobank
Chang Gu Kang, Su Kang Kim
Urogenit Tract Infect 2026;21(1):26-39.
-
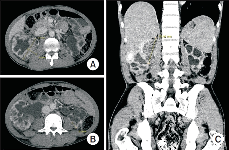
Case ReportApr 30, 2026
Bilateral Xanthogranulomatous Pyelonephritis With Extensive Abscess Associated With Neurogenic Bladder: A Case Report
Sin Woo Lee, Hee Seung Choi
Urogenit Tract Infect 2026;21(1):40-43.
TOP